Fallbeispiele aus unserer Praxis – Für sichtbare Erfolge und echte Veränderungen
Echte Fälle, echte Menschen: Erleben Sie, wie individuelle Therapien in unserer Zahnarztpraxis wirken – von komplexen Sanierungen bis zu ästhetischen Lösungen mit Langzeitwirkung.





Sanierung mit Implantaten und Keramikkronen
Vorher: Starke Abnutzung sämtlicher Zähne.
Nachher: Die lachende Patientin.
Vorher: Starke Vernachlässigung des Gebiss.
Nachher: Vollständig saniert und in Form und Funktion perfekt wiederhergestellt.
Behandlungsfall mit Non-Prep-Veneers
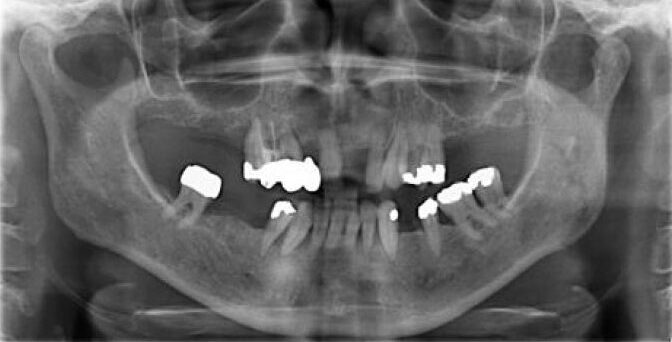
Implantatfall mit Straumann
Patientin (geb. 1963) mit Parodontitis und zahlreichen defekten Zähnen im Ober- und Unterkiefer.
Nach Versorgung mit elf Straumann Implantaten (6 im Oberkiefer / 5 im Unterkiefer) und festsitzender Prothetik.
Kontaktieren Sie uns
Sie haben Fragen oder möchten einen Termin vereinbaren? Wir sind für Sie da – telefonisch, per E-Mail oder direkt über unser Kontaktformular. Wir freuen uns auf Ihre Nachricht.
Schreiben Sie uns.
Standort
4052 Basel
Schweiz